המרפאה של ד״ר וסרמן הוקמה לפני יותר מ-30 שנה על ידי ד״ר צביאל וסרמן, רופא שיניים בעל נסיון עשיר בתחומי השתלות דנטליות, כירורגיה ושיקום הפה, מתוך חזון של מתן פתרונות אמינים וארוכי טווח.
לצידו מטפל כיום במרפאה גם ד״ר יובל וסרמן, המתמקד באסתטיקה דנטלית מתקדמת וטיפולים משמרים, המביא איתו גישה עדכנית הנשענת על הקשבה לצורכי המטופל עם דגש על נוחות, בטחון ותוצאה טבעית.
השילוב בין ידע וניסיון רב שנים לבין חדשנות אסתטית מתקדמת מאפשר למרפאה להעניק מעטפת טיפולית שלמה, מקצועית ואיכותית – במקום אחד.
הטיפולים במרפאה
השתלות דנטליות
השתלת שן בודדת | השתלות ביום אחד | השתלות ממוחשבות
פתרונות למחוסרי עצם
הרמת סינוס | השתלות עצם | פיצול רכס
אסתטיקה דנטלית
ציפויי חרסינה | שחזורים אסתיים | הלבנות | עיצוב קו החניכיים
שיקום פה
כתרי זירקוניה | גשרים על גבי שיניים או שתלים | שיקום פה מלא
טיפולים משמרים
שחזורים| טיפולי שורש | שיננית | עקירות כירורגיות ושיני בינה
טכנולוגיות חדישות
סריקת שיניים דיגיטלית | השתלות ממוחשבות | הרדמה ממוחשבת
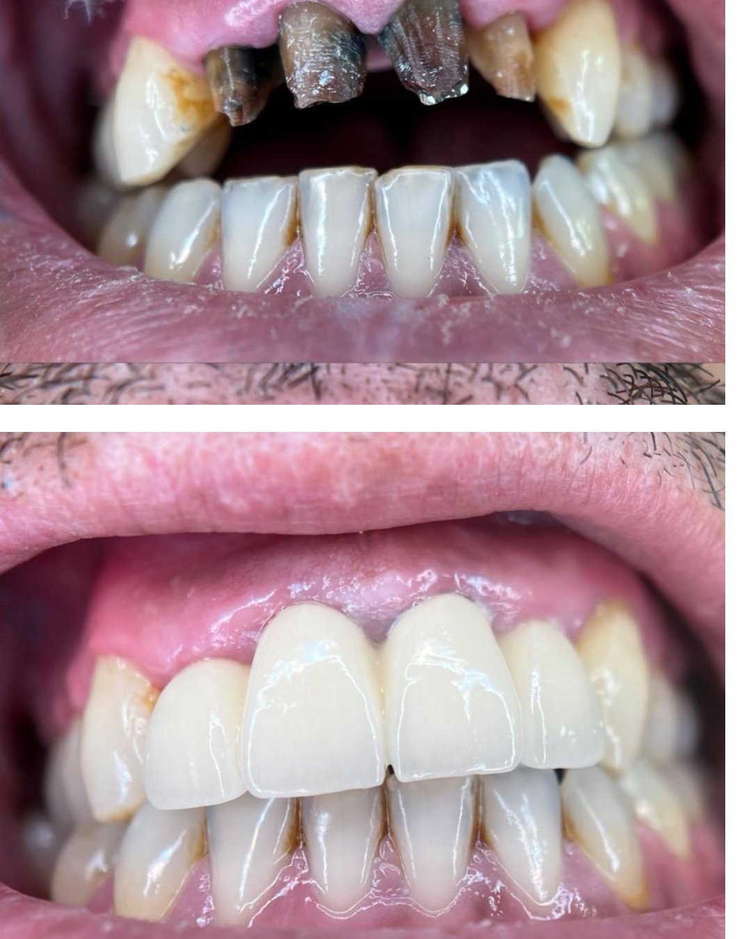
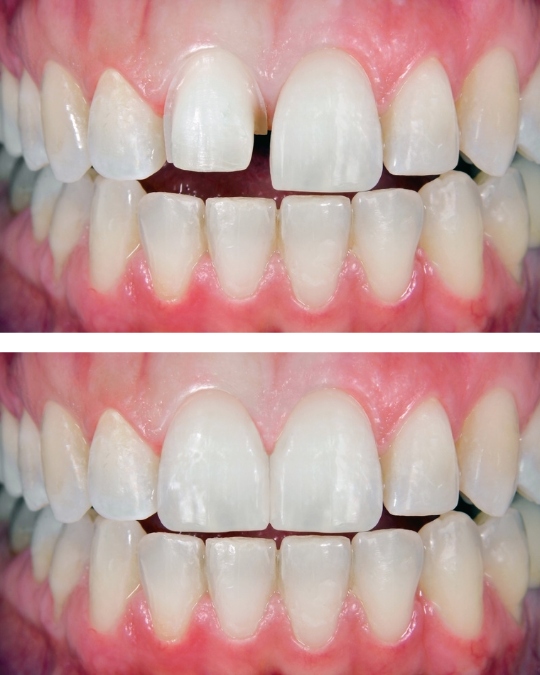
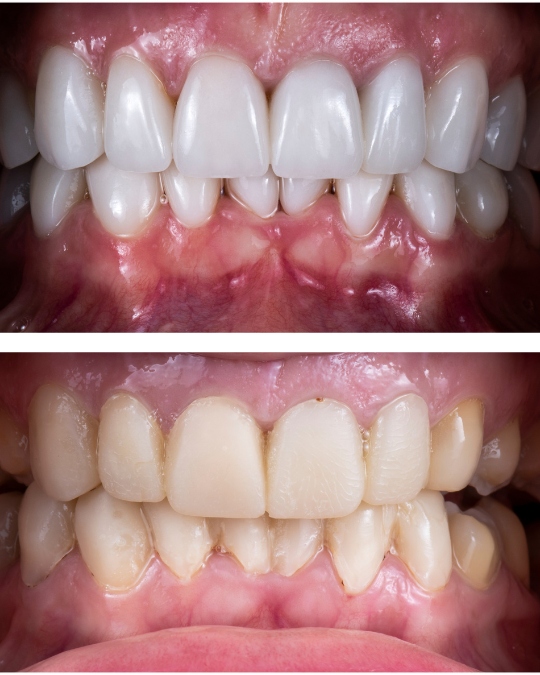
לפני ואחרי










מטופלים ממליצים
שאלות נפוצות
האם השתלת שיניים היא תהליך כואב?
הודות לטכנולוגיות אלחוש מתקדמות ותכנון ממוחשב, רוב המטופלים מדווחים על אי-נוחות מינימלית בלבד, הדומה לטיפול סתימה רגיל. אנו מלווים את המטופל גם ביום שאחרי כדי לוודא החלמה מהירה ונטולת כאבים.
אמרו לי שאין לי מספיק עצם להשתלה, האם יש לי פתרון?
בהחלט. כיום קיימים פתרונות מתקדמים כמו הרמת סינוס, השתלות עצם ואפילו שתלים זיגומטיים. טכניקות אלו מאפשרות לנו לבנות תשתית יציבה להשתלה גם במקרים של ספיגת עצם משמעותית.
מה ההבדל בין הלבנת שיניים לציפויי חרסינה?
הלבנה משנה את גוון השן הקיימת בלבד. ציפויי חרסינה (למינציה) הם פתרון קבוע המאפשר לשנות לא רק את הצבע, אלא גם את הצורה, האורך והיישור של השיניים, ליצירת חיוך הרמוני ומושלם.
מה ההבדל בין הלבנת שיניים לציפויי חרסינה?
הלבנה משנה את גוון השן הקיימת בלבד. ציפויי חרסינה (למינציה) הם פתרון קבוע המאפשר לשנות לא רק את הצבע, אלא גם את הצורה, האורך והיישור של השיניים, ליצירת חיוך הרמוני ומושלם.
האם ציפויי החרסינה נשמרים לאורך זמן?
כן. ציפויי החרסינה עמידים מאוד בפני כתמים (של קפה, עישון וכד') ושומרים על הגוון והברק שלהם למשך שנים רבות, כל עוד שומרים על היגיינה אוראלית ותחזוקה שוטפת במרפאה.
מהו תהליך "שיקום פה מלא"?
זהו תהליך מקיף המשלב מספר התמחויות (כתרים, שתלים, אסתטיקה) במטרה להחזיר לפה את התפקוד המלא ואת המראה האסתטי. זהו פתרון אידיאלי למטופלים הסובלים משחיקת שיניים חמורה, אובדן שיניים מרובה או בעיות סגר.
למה כדאי לבחור בכתרי זירקוניה?
כתרי זירקוניה הם "חנית החנית" של שיקום הפה. הם אינם מכילים מתכת, מה שמונע הופעת "פס אפור" בחניכיים, והם מעבירים אור בצורה דומה מאוד לשן טבעית, מה שמעניק תוצאה אסתטית בלתי ניתנת לזיהוי.
למה מומלץ להחליף סתימות "כסופות" (אמלגם) בסתימות לבנות?
מעבר להיבט האסתטי הברור, הסתימות הלבנות המודרניות (קומפוזיט) נקשרות לשן בצורה כימית ומחזקות את מבנה השן, בניגוד לאמלגם שעלול ליצור סדקים בטווח הארוך.
כל כמה זמן באמת צריך להגיע לשיננית?
ההמלצה הכללית היא פעם בחצי שנה, אך למטופלים עם נטייה למחלות חניכיים או למטופלים עם שתלים, אנו ממליצים על ביקור כל 3-4 חודשים כדי לשמור על בריאות הרקמות ומניעת דלקות.